案例分享 Cases
微笑見證 綻放您的自信
植牙案例, 植牙重建
中年阿姨因嘔吐反射嚴重、無法配戴活動假牙,選擇以 All-on-5 上顎全口植牙 進行重建。治療過程中進行骨粉補骨並等待整合,最終成功恢復固定式假牙。術後不僅臉部飽滿度明顯提升,發音與咀嚼功能也全面改善,生活品質大幅提升。下顎後牙則預計於後續階段植牙完成整體重建。
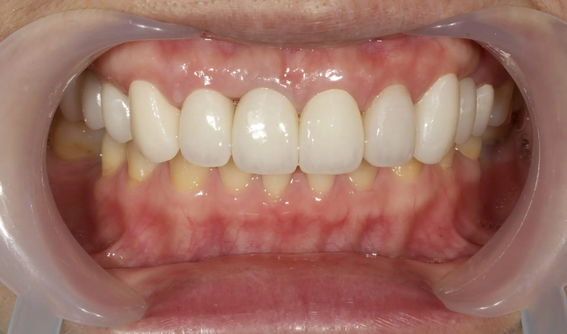
假牙贋復, 固定式假牙案例
患者一開始想諮詢假牙。
檢查發現牙齒排列不整,下顎牙齒也是,討論過後病患有意願先排列好牙齒,再做貼片/牙冠。
先開始隱適美療程(沒有拔牙)主要以牙齒排列整齊為主
做完後改善很多,再做貼片/牙冠,除了牙齒,外表也有改善。
固定式假牙案例
陳先生因撞斷上排門牙(11、21)前來求診,經評估後發現原本的咬合為切端對切端,易造成磨耗與牙齒受力不均。治療採「不拔牙矯正」方式,利用隱適美將前牙內收、排整齊後,再以陶瓷貼片修復門牙外觀與比例。雖外觀改變細膩,但從側面可見角度與咬合大幅改善,最終兼顧美觀與穩定的長期重建效果。
最新消息 News
植牙重建
植牙、活動假牙、牙橋該怎麼選擇呢?備受推薦的植牙,有哪三大優點?也許更令人好奇的是:植牙的缺點?這些植牙細節,讓我們深入講解植牙的流程,一一解說植牙的5個步驟,一次搞懂植牙的注意事項!
假牙贋復, 固定式假牙案例
有些牙齒問題,雖然旁人乍看之下覺得沒有很明顯,但對本人來說卻是一輩子的困擾。像是「天生缺牙」,往往會影響整體牙齒比例與外觀協調,尤其當缺牙位置位於門牙區,更容易讓人產生自信心上的陰影。這篇文章,我們將和大家分享一個來自台中璽瑞美學牙醫診所 贋復假牙專科林虹均醫師 的天生缺牙重建案例,帶大家了解臨時假牙、比例調整與假牙製作的重要性,希望可以給還在迷茫中的朋友們一些幫助~
假牙贋復
想長期改善門面笑容、笑起來更好看,卻又不想要矯正?那麼~陶瓷貼片可會是很多人的理想選擇之一~近年來,越來越多人透過陶瓷貼片來改善前牙美觀。但在診間和患者聊聊的時候,贋復假牙專科林虹均醫師卻發現,很多人會對貼片有著不少疑問與誤解,例如:會不會傷牙齒?能不能只做一顆?怎麼找到值得信賴的假牙醫師?今天,我們彙整做陶瓷貼片常見的幾個問題,希望可以幫助到還在迷惘的朋友釐清不清楚的地方,勇敢踏出改變的第一步!
假牙贋復
想要重做假牙,卻不知道該從哪位牙醫開始挑起?畢竟「做假牙」不只是把「一顆牙齒」裝上去,而是關乎長期咬合、臉型支撐與生活品質的精密工程。尤其在台中地區,牙醫診所越開越多,許多醫師專長都寫上:假牙、全瓷冠、牙橋,如何選到適合自己、又溫柔細心的診所與醫師,就成為許多朋友很關心的議題。今天,我們將從專業能力、溝通風格與技術特色三大面向,帶大家了解怎麼選對「台中假牙醫師」,成功重建笑容!






